Skip to main content
Introduction

Ehlers-Danlos syndrome (EDS) is a diverse group of congenital connective tissue disorders that involve defects in collagen metabolism. Edvard Ehlers (1863-1937), a Danish dermatologist, described the EDS clinical presentation in 1901 and Henri-Alexandre Danlos (1844-1912), a French dermatologist described it in 1908.  The syndrome was recognized in 1949.2,14

Symptoms vary widely depending on the subtype, but generally include dermal extensibility, articular hypermobility, and tissue fragility. The hypermobile subtype is most common and frequently leads to functional impairments, and the hypermobility of joints also increases the risk for subluxation and dislocation. Preventative and conservative interventions such as physical therapy and pain medications are typically recommended initially, but surgery may be considered for patients with severe limitations or complications.1-3

Pathophysiology

  • Genetic mutations cause the collagen defects in EDS that occur in Type I, III and V collagens.
  • The structure, processing, folding, crosslinking, and microvasculature of the abnormal collagens are all affected. In addition, there are extracellular matrix molecule defects in proteoglycans and tenascin-X.
  • EDS is usually inherited and most commonly follows an autosomal dominant pattern, but certain subtypes follow an autosomal recessive pattern. Many cases of de novo mutations have also been documented.1,4
  • In most EDS subtypes, the pathophysiology involves heritable mutations in collagen synthesis and/or processing, which leads to varying degrees of skin hyperextensibility, joint hypermobility, skin fragility, and bruising.4,5
  • Several classification systems have been used to group different types of EDS throughout history, but the International Classification System published by the International EDS Consortium in 2017 is the most current system used. The International Classification System lists 13 EDS subtypes, which are heterogenous from a clinical perspective. The five most common and clinically significant of these subtypes are described below3,4,13-16:
    • Classical EDS
      • Previously comprised of type I and type II EDS.2
      • Follows an autosomal dominant inheritance pattern and is associated with mutations of several genes, including COL5A1 on chromosome 9 (which codes for Type V collagen), COL1A1 on chromosome 17 (which codes for Type I collagen), and COL5A2 on chromosome 2.1,2,4
      • Most common clinical characteristics: velvety hyperextensible skin with widened atrophic scars and generalized joint hypermobility.2,4
    • Classical-like EDS
      • Inherited through an autosomal recessive pattern, through a mutation in the TNX-B gene, which codes for Tenascin XB.4,6
      • Most common clinical characteristics: skin hyperextensibility without atrophic scarring, generalized joint hypermobility, and easy bruising.4,6
    • Cardiac-valvular EDS
      • Inherited through an autosomal recessive pattern, through mutations in the COL1A2 and/or NMD genes, which code for Type I collagen.4,6
      • Most common clinical characteristics: skin hyperextensibility with atrophic scarring and easy bruising, restricted or generalized joint hypermobility, and progressive cardiac-valvular problems.4,6
    • Vascular EDS
      • Previously classified as type IV EDS.2
      • Inherited through an autosomal dominant pattern, through mutations in the COL3A1 gene (which codes for Type III) and/or COL1A1 gene (which codes for Type I collagen). Mutations in the COL3A1 are more common.1,4,6
      • Most common clinical characteristics: arterial rupture at a young age, uterine rupture, formation of a carotid-cavernous sinus fistula without trauma, and family history.4,6 Vascular EDS is one of the most clinically detrimental subtypes.2
    • Hypermobile EDS
      • Inherited through an autosomal dominant pattern. No associated genetic mutations have been identified yet4,6; however, type III EDS according to earlier classification systems, which was also known as hypermobile type, was associated with types I and VI collagen, specifically gene TNX-B on chromosome 6.2
        • According to earlier classification systems, type III was the most prevalent type of EDS.2
      • Common clinical characteristics include generalized joint hypermobility, systemic manifestations of a generalized connective tissue disorder, and a family history.6 Joint subluxations and dislocations are also common.2
    • Other EDS subtypes include arthrochalasia EDS, dermatosparaxis EDS, kyphoscoliotic EDS, brittle cornea syndrome, spondylodysplastic EDS, musculocontractural EDS, myopathic EDS, and periodontal EDS.6

The table below show the currently recognized clinical phenotypes, inheritance patterns, abnormal proteins and gene mutations.17,18,19

EDS - Clinical Phenotype

Mendelian Inheritance Pattern

Protein

Gene/Locus

Classical*

AD

Procollagen type V

COL5A1/COL5A2

  

Procollagen type I

COL1A1

Classic-like 1*

AR

Tenascin-X

TNX-B

Classic-like 2

AR

 

AEBP1

Hypermobility*

AD

?

?

  

Tenascin-X

TNX-B

Vascular*

AD

Procollagen type III

COL3A1

Vascular-Like

AD

Procollagen type I (R-to-C)

COL1A1

Kyphoscoliotis Type 1

AR

Dermatan-4-sulfotransferase-1

CHST14/PLOD1

Kyphoscoliotis Type 2

AR

FKBP14

FKBP14

Arthrochalsia

AD

Procollagen type I

COL1A1/COL1A2

  

(deletion of N-propeptide cleavage site)

 

Dermasparaxis

AR

Procollagen-I-N-proteinase

ADAMTS2

Filamin A (Periventricular nodular heterotopia)

XL

Filamin A

FLNA

Cardiac-valvular*

AR

Deficiency of Aphla2(1) chain

COL1A2

Musculocontractural

AR

Dermatan-4-sulfatransferase-1

CHST14/DSE

Progeroid

AR

Galactosyltransferase 1

B4GALT7

Spondylocheirodysplastic

AR

ZIP13

SLC39A13

Spondylodysplastic type 1

AR

 

B4GALT7

Spondylodysplastic type 2

AR

 

B4GALT6

Brittle cornea syndrome 1

AR

ZNF469

ZNF469

Brittle cornea syndrome 2

 

PRDM5

PRDM5

EDS/OI overlap

AD

Procollagen type I

COL1A1/COL1A2

  

(deletion of N-propeptide cleavage site)

 

Bethlem myopathy 2

AD

 

COL12A1

Periodontal type 1

AD

 

C1R

Periodontal type 2

AD

 

C1S

  

* Most Common

 

 

Related Anatomy

  • Joints
  • Ligaments
  • Tendons
  • Essentially all soft tissues are involved

Incidence and Related Conditions

  • Epidemiological data using the 2017 International Classification System are scarce, and most existing statistics follow the 1997 classification system. These data suggest that the estimated incidence of all EDS subtypes is between 1 in 2,500 to 5,000.1,4
    • For each of the main subtypes under the 1997 system, the estimated prevalence is1,2:
      • Types I and II (classical): 1 in 20,000 to 40,000
      • Type III (hypermobile): 1 in 5,000 to 20,000
      • Type IV (vascular): 1 in 100,000 to 250,000
  • The prevalence of EDS is highest in women and non-white populations.7
  • More than 90% of cases EDS are classic or hypermobile EDS (cEDS or hEDS), less than 5% of the cases are vascular EDS and the other types are all rare.

Differential Diagnosis

  • Osteogenesis imperfecta type I
  • Marfan syndrome
  • Loeys-Deitz Syndrome
  • Cutis laxa
  • Fibromyalgia
  • Chronic fatigue syndrome
  • Benign Joint Hypermobility Syndrome
  • Skeletal dysplasias
  • Mucopolysaccharidoses
  • Pseudoxanthoma elasticum
  • Ullrich congenital muscular dystrophy
  • Bethlem myopathy

EDS Complaints1,2,8

  • Chronic pain
  • Pinch and grip weakness
  • Impaired fine motor skills
  • Joint hypermobility
    • Digit laxity
    • Subluxation and dislocation
      • Hand deformity and CMC joint subluxation9
    • Increased range of motion (ROM) and instability
  • Headache
  • Fatigue
  • Skin manifestations
    • Translucent, hyperextensible skin
    • Tissue fragility
    • Poor wound healing
    • Easy bruising
    • Atrophic scars
  • Respiratory symptoms
  • Chest pain with palpitations and fainting
  • Vision issues
  • Gastrointestinal symptoms
  • Nerve palsy10
  • Arterial rupture10
  • Stenosing tenosynovitis11
  • Scoliosis
  • Depression and anxiety

Most Common Positive Exam Findings

  • The diagnosis of EDS should be primarily based on clinical features, family history, and the presence of specific biochemical defects in some cases.11 Accurately diagnosing can therefore be challenging, and healthcare providers must have a high degree of suspicion.7
  • Joint Hypermobility:
    • The most common way to assess joint hypermobility is the Beighton scale.7

Beighton scale for joint hypermobility7

Joint/finding

Negative

Unilateral

Bilateral

Passive dorsiflexion of the fifth finger >90°

0

1

2

Passive flexion of thumbs to the forearm

0

1

2

Hyperextension of the elbows >10°

0

1

2

Hyperextension of the knees >10°

0

1

2

Forward flexion of the trunk with knees fully extended and palms resting on the floor

0

1

1

  • Skin Abnormalities
    • The skin should be thoroughly examined for hyperextensibility.4
    • This evaluation can also help to differentiate EDS from other etiologies (eg, cutis laxa) by assessing how quickly stretched skin returns to its original shape after manual manipulation.4
    • The skin is also soft, velvety with doughy texture, excessively fragile, heals poorly, bruises easily and forms wide cigar-shaped atrophic scars.
Clinical Presentation Photos and Related Diagrams
Ehlers-Danlos Syndrome
  • Extreme fifth finger PIP hyperextension i.e. joint hypermobility in an old patient with mild Ehlers-Danlos Syndrome
    Extreme fifth finger PIP hyperextension i.e. joint hypermobility in an old patient with mild Ehlers-Danlos Syndrome
Pathoanatomy Photos and Related Diagrams
Ehlers-Danlos Syndrome
  • Joint hypermobility demonstrated by the thumb being able to touch the volar forearm.
    Joint hypermobility demonstrated by the thumb being able to touch the volar forearm.
  • Joint hypermobility demonstrated by extreme bilateral elbow hyperextension.
    Joint hypermobility demonstrated by extreme bilateral elbow hyperextension.
  • Extraordinary joint hypermobility demonstrated by extreme index ray hyperextension.
    Extraordinary joint hypermobility demonstrated by extreme index ray hyperextension.
  • Skin Hyperextensibility of Ehlers-Danlos Syndrome
    Skin Hyperextensibility of Ehlers-Danlos Syndrome
  • Abnormal abdominal Striae in a male with Ehlers-Danlos syndrome
    Abnormal abdominal Striae in a male with Ehlers-Danlos syndrome
Symptoms
Joint hypermobility & instability
Joint Pain with early onset osteoarthritis
Skin hyperextensibility, fragility & easy bruising
Muscle weakness
Chest pain, palpitations & fainting on standing
Respiratory symptoms like shortness of breathe
Gastrointestinal complaints
Eye problems (Fragile Sclera, Blue Sclera)
Depression & anxiety
Typical History

A typical patient is a 42-year-old Hispanic woman. She had been experiencing an array of symptoms in her hands and wrists for >4 years, which had progressively worsened over time. Symptoms included chronic pain, hypermobility and laxity of several IP, MP, and CMC joints, and mildly hyperextensible skin that bruised easily. The family history was positive for EDS. As her symptoms progressed, she gradually lost some hand and wrist function, and she recently dislocated her the thumb CMC joint of her right hand, which led her to seek out treatment.

Positive Tests, Exams or Signs
Work-up Options
Treatment Options
Treatment Goals
  • Establish an accurate diagnosis
  • Maintain function
  • Provide carefully selected treatment options
Conservative

Conservative5,7,8,12

  • Since there is no cure for EDS, treatment should follow a multidisciplinary approach and focus on preventing disease progression and subsequent complications.4
  • Acetaminophen and non-steroidal anti-inflammatory medications
    • For mild to moderate pain
  • Physical, occupational therapy and hand therapy
    • Strengthening exercises to address pinch and grip weakness
    • Stretching exercises
    • Patient education on activity modification
    • Manual therapy
    • Orthotics
    • Neuromuscular taping
    • Intermittent splinting
  • Steroid injections
    • Should only be used in the short term
  • Neuropathic pain medications
    • Must be used with caution
    • Tricyclic antidepressants
    • Anticonvulsants
    • Serotonin and norepinephrine reuptake inhibitors
  • Muscle relaxants
  • Cardiology Evaluation
  • Psychological Support
  • Genetic consulting and testing for all patients and first-degree relatives with Ehlers-Danlos Syndrome.
Operative

Operative7-9,12

  • Reconstructive surgery is not frequently used but may be considered for some patients. Tendon stabilization procedures are generally preferred.7,12
  • Arthrodesis
  • Proximal row carpectomy
  • Split ECRB tenodesis
  • Dorsal capsule tightening
  • Volar capsule tightening
  • Ligament reconstruction
  • Trigger finger release
Treatment Photos and Diagrams
Surgery in Ehlers-Danlos Syndrome patient
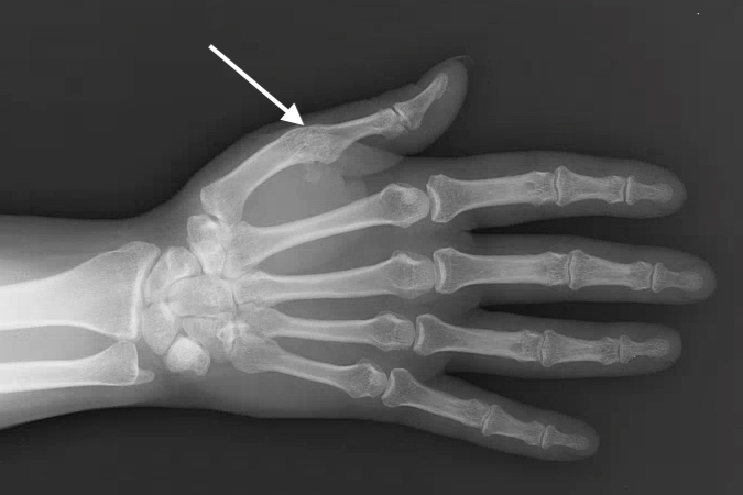
  • Ten year followup of a thumb MP arthrodesis (arrow) used to treat a hyperextensible MP joint that was causing weak pinch.
    Ten year followup of a thumb MP arthrodesis (arrow) used to treat a hyperextensible MP joint that was causing weak pinch.
Complications
  • Tendon degeneration and tendon rupture
  • Enthesopathy
  • Osteoarthritis
  • Swan-neck deformity
  • Postoperative edema
  • Blood vessel fragility
  • Delayed healing
  • Scarring
Outcomes
  • Evidence is mixed on the efficacy of orthopedic surgery for EDS patients with moderate to severe joint pain.7
  • The prognosis of EDS varies widely based on which type is present, the resulting manifestations, and when treatment is initiated. Early preventative interventions could help reduce morbidity throughout life, while lack of management and repeat joint injuries would lead to significant morbidity.4,7
  • The mortality of patients with hypermobile and classic EDS subtypes is generally not reduced by the disease, while the lifespan of those with vascular and kyphoscoliotic subtypes is often significantly affected.4
  • Physical therapy, orthotics, and activity modification are generally helpful for patients with midcarpal instability but may be unsuccessful in controlling instability in the longer term.12
  • Split ECRB tenodesis has been associated with patient satisfaction, reduced pain, and a less use of orthotics over ≥1 year.12
Video
Hand Exam in Ehlers-Danlos Syndrome
YouTube Video
Ehlers-Danlos Syndrome
Key Educational Points
  • Although physical therapy should play a major role in the management of EDS, many physical therapists are not familiar with this condition and the optimal treatment strategy. Educating these healthcare providers is therefore important.7
  • The Beighton scale for hypermobility was developed in 1969 and has remained practically unchanged since then.2
  • Hand and orthopedic surgeons are often the first healthcare providers to see patients with EDS, since many patients seek out treatment for musculoskeletal symptoms of joint pain and instability. It is therefore important for surgeons to correctly recognize symptoms of EDS, evaluate for the presence of any potentially life-threatening comorbidities, and avoid unnecessary interventions.2
  • Although soft tissue ligament reconstruction can lead to short-term stabilization, some surgeons are hesitant to perform it due to intrinsic abnormalities of collagen metabolism and the risk of loosening over time.12
  • Molecular genetic testing of a clear pathogenic variant in a specific gene can be extremely helpful in the diagnosis of EDS, which is frequently difficult.3
  • In Classic EDS in addition to the usual EDS signs and symptoms mulluscoid pseudotumors at the elbow and knees are seen.   Also 150 different Type V collagens have been identified in Classic EDS.
  • In Classic-like EDS easy bruising is common along with the typical hypermobile joints and skin extensibility.
  • Cardiac-valvular EDS is distinguished by progressive cardiac valvular disease and the need for routine echocardiograms and aortic root diameter measurements.
  • Vascular EDS cases are characterized by easy bruising, lobe less ears, thin translucent skin and arterial problems. 75% of these patients will experience a major complication such as arterial rupture by age 40.
  • Hypermobile EDS Is unique because no genetic mutations have been identified. These patients also have considerable joint pain and demonstrate postural orthostatic tachycardia syndrome (POTS).
  • Kyphoscoliotic EDS Is characterized by tissue fragility, severe muscle hypotonia and scoliosis which can be severe and cause respiratory compromise.
  • Arthrochalsia EDS Is caused by a collagen type one defect and is associated with severe joint mobility. Bilateral hip dislocations that are frequently seen at birth.
  • Dermatosparaxis EDS Is extremely rare with short stature, short fingers, fragile lax skin and blue sclera.
  • In general, avoid surgical procedures and endovascular interventions.
References
  1. Parker, JN and Parker, PM, eds. Ehlers-Danlos Syndrome: A Bibliography and Dictionary for PHysicians, Patients, and Genome Researchers. San Diego, CA: ICON Group International, Inc; 2007.
  2. Christophersen, C and Adams, JE. Ehlers-Danlos syndrome. J Hand Surg Am 2014;39(12):2542-4. PMID: 25459960
  3. Ritelli, M and Colombi, M. Molecular Genetics and Pathogenesis of Ehlers-Danlos Syndrome and Related Connective Tissue Disorders. Genes (Basel) 2020;11(5):547. PMID: 32414079
  4. Miklovic, T and Sieg, VC. Ehlers Danlos Syndrome. In: StatPearls.Treasure Island (FL): 2021. PMID: 31747221
  5. Kornberg, M and Aulicino, PL. Hand and wrist joint problems in patients with Ehlers-Danlos syndrome. J Hand Surg Am 1985;10(2):193-6. PMID: 3980930
  6. Malfait, F, Francomano, C, Byers, P, et al. The 2017 international classification of the Ehlers-Danlos syndromes. Am J Med Genet C Semin Med Genet 2017;175(1):8-26. PMID: 28306229
  7. Zhou, Z, Rewari, A and Shanthanna, H. Management of chronic pain in Ehlers-Danlos syndrome: Two case reports and a review of literature. Medicine (Baltimore) 2018;97(45):e13115. PMID: 30407326
  8. Gamble, JG, Mochizuki, C and Rinsky, LA. Trapeziometacarpal abnormalities in Ehlers-Danlos syndrome. J Hand Surg Am 1989;14(1):89-94. PMID: 2786020
  9. Moore, JR, Tolo, VT and Weiland, AJ. Painful subluxation of the carpometacarpal joint of the thumb in Ehlers-Danlos syndrome. J Hand Surg Am 1985;10(5):661-3. PMID: 4045143
  10. Bowers, WH, Spencer, JB and McDevitt, NB. Brachial-artery rupture in Ehlers-Danlos syndrome: an unusual cause of high median-nerve palsy. A case report. J Bone Joint Surg Am 1976;58(7):1025-6. PMID: 185223
  11. Cheung, JP, Fung, BK, Mak, KC, et al. Multiple triggering in a girl with Ehlers-Danlos syndrome: case report. J Hand Surg Am 2010;35(10):1675-7. PMID: 20843613
  12. Krijgh, DD, Harley, OJ, Hovius, SE, et al. Surgical technique: hemi-extensor carpi radialis brevis tenodesis for stabilizing the midcarpal joint in Ehlers-Danlos syndrome. J Hand Surg Am 2014;39(10):2071-4. PMID: 25194773
  13. Shirley ED, DeMaio M, BodurthaJ. Ehlers-Danlos Syndrome in Orthopaedics: Etiology, Diagnosis, and Treatment Implications. Sports Health 2012 Sept; 4(5): 394-403.
  14. Sobey G. Ehlers-Danlos Syndrome: how to diagnose and when to perform genetic tests. Arch Dis Child 2015; 100: 57-61.
  15. Colombi M, Ritelli M, eds. Molecular Genetics and Pathogenesis of Ehlers-Danlos Syndrome and Related Connective Tissue Disorders. Basel: MDPI; 2020.
  16. Malfait F, Wenstrup RJ, De Paepe, A. Clinical and genetic aspects of Ehlers-Danlos Syndrome, classic type. Genetics in Medicine 2010; 12(10): 597-605.
  17. https://www.mayocliniclabs.com/test-catalog/Clinical+and+Interpretive/65749
  18. The Online Mendelian Inheritance in Man Web site - omim.org
  19. Jaroslava Halper (ed.), Advances in Experimental Medicine and Biology, Progress in Heritable Soft Connective Tissue Diseases, 2014, DOI: 10.1007/978-94-007-7893-1_9, © Springer Science+Business Media Dordrecht 2014 9. The Ehlers-Danlos Syndrome Fransiska Malfait1 and Anne De Paepe1 (1) Center for Medical Genetics, Ghent University Hospital, Ghent University, Ghent, Belgium
Subscribe to EHLERS-DANLOS SYNDROME