Skip to main content
Introduction

Distal biceps tendon rupture is an uncommon injury occurring from 1 to 10 per 100,000.  Typically, it can be detected by examination alone as history will often provide clues to raise clinical suspicion.   Surgical management is relatively straight forward but the risk benefit discussion can be controversial and complicated.

Magnetic resonance imaging (MRI) can aid in diagnosis, with highly sensitive results for complete biceps tendon ruptures.1

Pathophysiology

Biceps rupture is most commonly caused by an eccentric load across a flexed elbow. However, it can also result from overuse of the biceps, particularly in carpenters or construction workers.2   It has also been described in patients with connective tissue disorders, enthesopathies and chronic uremia.  Interestingly, distal biceps tendon ruptures are very uncommon in women.3   It is important to keep in mind that the biceps is primarily a forearm supinator that also flexes the elbow, the brachialis provides the majority of elbow flexion strength.

Related Anataomy

  • Distal biceps tendon
  • Radial protuberance
  • Posterior interosseous nerve (PIN)
  • Anterior interosseous nerve (AIN)
  • Brachial artery
  • Median nerve
  • Antecubital fossa
  • Lacertus fibrosis

Incidence and Related Conditions

  • Tendinosis1
  • Uremia
  • Gout
  • Enthesiopathy

Differential Diagnosis

  • Biceps tendon tear- partial vs. complete
  • Lacertus fibrosis tear
  • Pronator teres strain
  • Brachialis strain
Clinical Presentation Photos and Related Diagrams
Normal Hook Test
  • The hook Test was originally described by Driscoll. The patient holds the elbow in 90 degrees of flexion and full supination. The examiner’s index finger is inserted from lateral to medial at the antecubital fossa’s flexion crease. If the biceps is intact the examining finger can go behind the palpable biceps tendon and pull against it. If the tendon was ruptured, the examining finger would just push against the skin and subcutaneous tissues.
    The hook Test was originally described by Driscoll. The patient holds the elbow in 90 degrees of flexion and full supination. The examiner’s index finger is inserted from lateral to medial at the antecubital fossa’s flexion crease. If the biceps is intact the examining finger can go behind the palpable biceps tendon and pull against it. If the tendon was ruptured, the examining finger would just push against the skin and subcutaneous tissues.
Symptoms
History of injury to elbow4
Loss of supination strength with loss of flexion
Swelling, ecchymosis and tenderness in antecubital fossa
Decrease in range of motion, active more affected than passive
Typical History

The typical patient is a middle-aged male manual laborer complaining of sudden onset of pain with a sense of proximal migration of the biceps muscle.  There is a history of more recent or remote trauma to the elbow.  Important questions to ask this patient with a potential biceps’ injury include:

  • Occupation, handedness and history of any recent injuries.
  • Recent medication changes, especially fluoroquinolone antibiotics (e.g. Cipro)
  • History of anabolic steroid use or corticosteroid use
  • History of connective tissue disorders, rheumatoid arthritis, psoriatic etc.
  • History of renal failure/insufficiency
  • History of gout

Also note, smokers have an increased risk of biceps rupture.  Female patients are typically older and present with partial biceps ruptures.6

Positive Tests, Exams or Signs
Work-up Options
Images (X-Ray, MRI, etc.)
MRI Distal Biceps Rupture
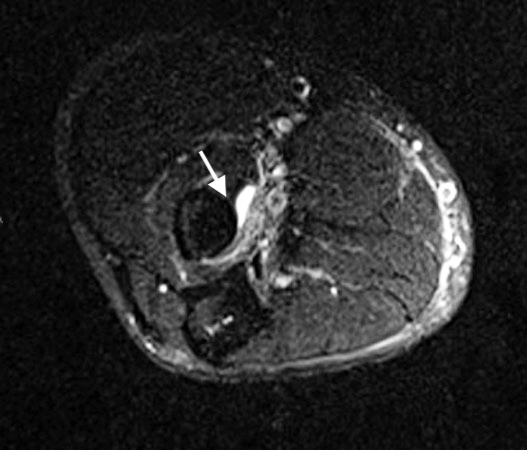
  • 1.	This MRI (T2) cross-sectional image at the level of the elbow shows the radius and the insertion site of the biceps tendon on the radius tuberosity (arrow). The ruptured biceps tendon is not present. Edema (white) secondary to the biceps rupture is evident at the tuberosity.  The structures adjacent to the edema are the neurovascular bundle and surrounding fatty tissues.
    1. This MRI (T2) cross-sectional image at the level of the elbow shows the radius and the insertion site of the biceps tendon on the radius tuberosity (arrow). The ruptured biceps tendon is not present. Edema (white) secondary to the biceps rupture is evident at the tuberosity. The structures adjacent to the edema are the neurovascular bundle and surrounding fatty tissues.
  • 2.	This MRI (T1) image of the biceps is a coronal view.  The biceps muscle is visible, and the retracted curled up and ruptured biceps tendon is seen at the level of the elbow.
    2. This MRI (T1) image of the biceps is a coronal view. The biceps muscle is visible, and the retracted curled up and ruptured biceps tendon is seen at the level of the elbow.
  • 3.	This MRI (T2) image of the elbow shows the humerus and olecranon with the brachialis muscle anterior to the humerus and elbow.  In the proximal aspect of the image there is a marker on the skin (arrow) over the retracted ruptured biceps tendon.  Fluid is noted in the elbow joint.
    3. This MRI (T2) image of the elbow shows the humerus and olecranon with the brachialis muscle anterior to the humerus and elbow. In the proximal aspect of the image there is a marker on the skin (arrow) over the retracted ruptured biceps tendon. Fluid is noted in the elbow joint.
Treatment Options
Treatment Goals
  • Repair biceps tendon when completely ruptured
  • Alternatively rehabilitate elbow function without surgical repair.
Conservative
  • Conservative/nonoperative treatment leads to a supination strength loss of 26% to 60% and a maximum flexion strength loss of up to 30%. In a majority of patients flexion strength returns to 10-15% of normal.7
  • Patients who choose nonoperative treatment typically have a more noticeable cosmetic asymmetry between affected and nonaffected extremities.  The biceps will retract proximally and atrophy over time.
  • Patients who are comfortable with the strength loss should consider nonoperative management. In most cases of conservative treatment, including anti-inflammatory medication and physical therapy, should be used for at least six months to maximize outcome.2
Operative
  • Traditionally, surgical intervention stratifies into double incision and single incision techniques.10 Double incision has higher incidence of bony synostosis and single incision repair has higher incidence of neurovascular injury. Advances in the understanding of elbow anatomy and implant technology has made the single incision as much more common approach at this time.
  • Surgery should be performed within 2-3 weeks to minimize risks.  Over time the sheath and surrounding space for the biceps will collapse.  Antecubital fossa structures will migrate centrally and proximally, making reestablishment of an insertion site more complicated.
  • For single incision surgery, forearm supination maximizes the distance between the radial tuberosity and the posterior interosseous nerve (PIN/radial)
  • Two-incision surgery is usually performed in muscle-splitting fashion through the extensor mass with the forearm in pronation. This moves the PIN away from tuberosity instrumentation site.6
  • Single incision surgery may be the safer choice, with less risk of heterotopic bone formation or PIN injury but higher risk to anterior structures (anterior interosseous nerve (AIN/median) and lateral antebrachial cutaneous nerve which is a terminal branch of the musculocutaneous nerve).  
  • Two-incision surgery may allow for a more anatomic placement of the ruptured tendon.4
Complications

Complications of Conservative approach

  • Cosmetic asymmetry
  • 10-30% loss of flexion strength across the elbow
  • 26-60% loss of supination strength of the forearm
  • Lateral antebrachial cutaneous neuropathy since proximal migration of the biceps pulls on the terminal branch of the musculocutaneous nerve

Complications of Operative approach

  • Synostosis/heterotopic bone formation, nerve injury and re-rupture of the distal biceps4,6
  • Some loss of strength even without nerve injury or bony overgrowth
  • Stiffness and loss of range of motion, more common in pronation and supination than flexion and extension
  • Numbness at the base of the thumb and radial forearm (Lateral antebrachial cutaneous nerve injury)
  • Brachial artery injury
  • Posterior interosseous nerve injury
  • Anterior interosseous nerve injury
  • Median nerve injury
Outcomes
  • Provided that there has been no heterotopic bone formation, elbow and forearm rotation should return to normal or near normal.4
  • Patient satisfaction is similar between operative and nonoperative treatment.
Key Educational Points
  • Future research may better identify how to best advise patients between conservative and operative management.2
  • Biceps injury should be considered when patients complain of new onset antecubital fossa pain.
  • Examine the patient’s uninvolved biceps, checking appearance, strength and range of motion.
  • Patients with possible biceps injury should have their pronation and supination checked. Supination is most easily tested by having the subject pronate their forearm with elbow flexed at 90 degrees and then holding their palm and resisting supination.5
  • Use the hook test, which can help differentiate between complete and partial distal tears.6,9 Hook test is done by asking the patient to isometrically flex their biceps, then the examiner places a finger in a hook configuration proximal to the elbow crease, lateral to midline and sweeps it medially.  An intact tendon will create a crease for the finger to hook under the biceps tendon.
  • Sonography (Ultrasound) is subject to some variability among examiners but noninvasive, inexpensive and fast.5
  • MRI of the elbow, with a flexed, abducted, supinated view (Festa)(Srinivasan) MRI is more widely relied on, with higher sensitivity in identifying complete ruptures. In a recent study, complete tears were identified with a sensitivity of 100% and partial tears with a sensitivity of 59.1%.1,6
  • An MRI is not required to diagnose an uncomplicated distal biceps rupture confirmed by history and examination; however, it can provide other potentially important information for preoperative planning, such as: chronicity, other underlying disorders and atypical antecubital fossa anatomy.
References
  1. Festa A, Mulieri PJ, Newman JS, et al. Effectiveness of magnetic resonance imaging in detecting partial and complete distal biceps tendon rupture. J Hand Surg 2010;35A:77-83. PMID: 19942363
  2. Hobbs MC, Koch J, Bamberger HB. Distal biceps tendinosis: evidence-based review. J Hand  Surg Am2009;34(6):1124-6. PMID: 19442457
  3. Bauman JT, Sotereanos DG, Weiser RW. Complete rupture of the distal biceps tendon in a woman: case report. J Hand Surg 2006; 31A:798-800. PMID: 16713845
  4. Baratz M, King GJW, Steinmann S. Repair of distal biceps ruptures. J Hand Surg Am  2012;37(7):1462-6. PMID:22480498
  5. Culp R, Jacoby S. Musculoskeletal Examination of the Elbow, Wrist and Hand: Making the Complex Simple. New Jersey: SLACK Incorporated, 2012
  6. Srinivasan RC, Pederson WC, Morrey BF. Distal biceps tendon repair and reconstruction. J Hand Surg Am2020;45(1):48-56. PMID: 31901332
  7. Schmidt CC, Jarrett CD, Brown BT. The distal biceps tendon. J Hand Surg 2013;38A:811-21. PMID: 23474326
  8. Hausman MR, Penelope Lang P. Examination of the Elbow: Current Concepts. J Hand Surg Am. 2014; 39:2534e2541.
  9. O’Driscoll SW, Goncalves LB, Dietz P. The hook test for distal bi- ceps tendon avulsion. Am J Sports Med. 2007;35(11):1865e1869.
  10. Boyd HB, Anderson LD. A Method for Reinsertion of the Distal Biceps Brachii Tendon. J Bone Joint Surg. 1961;43A:1041-1043.
Subscribe to DISTAL BICEPS INJURY